-
- 歯並びがデコボコしている
-
- 歯と歯の間に隙間がある
-
- 上の歯が出ている
-
- 歯が捻じれている
-
- 前歯の噛み合わせが深い
-
- 前歯がかみ合わない
の4つのメリット
薄くて透明な取り外し式装置なので目立ちません。他人に知られずに矯正したいという方、見た目を気にせず治療を進められます。また、装置を1〜2週間に一度交換していき、少しずつ歯を動かしていくので痛みが少ないのが特徴です。
いつでも自分で取り外しができるので、普段通りのお食事、歯みがきが可能のためむし歯や歯周病のリスクを抑えることができます。また、装置は定期的に交換するため、衛生的にお口の中を保つことができます。
歯型のスキャンしたデータをもとに、AIテクノロジーがシミュレーションを行い、歯が動いていく状態を事前に確認することがでます。また、最終的な歯並びの仕上がりを画像としてご覧いただけるので、安心して矯正治療を始めることができます。
前歯の重なりやすきっ歯などのお悩みを、透明な装置を装着するだけで少しずつ治していくことができます。
また、前歯だけに限られた矯正治療なので治療期間も短時間ですみ費用も抑えることができます。
落合歯科が選ばれる3つの理由
世界最先端の精密スキャン
iTero(アイテロ)導入医院
3Dスキャナーで
矯正前後の歯の様子を確認可能です!
iTeroとは、マウスピース型矯正装置のインビザライン専用の光学スキャナーです。光を照射するだけで歯型を採取することができますので、シリコンを口にいれる従来の歯型採取のような苦しさはありません。
また、iTeroであればスキャンしたデータを送るだけでマウスピースの製作が可能。治療開始までの期間を約1~2週間程度短縮することが出来ます。
相談時に矯正治療前後の
3Dシュミレーションが可能!
治療開始前に歯の動きを確認できるため
安心できます。
iTeroでスキャンをすると、矯正治療前(現在の歯型)と矯正治療後の歯型をご覧いただくことが可能です。
矯正治療開始前に、治療後の状態が分かりますので、ご納得いただいた上で、矯正治療を開始することができます。
患者さんに寄り添う
無料カウンセリング
当院では、矯正治療を始める前に専門のスタッフとカウンセリングの時間をお取りしています。
矯正の特徴や治療の流れ、費用について分かりやすく丁寧にご説明いたします。
また、カウンセリングスタッフはマウスピース矯正の経験者です。実体験を踏まえたお話も可能です。
無理に治療をすすめることはありませんので、安心してご相談ください。
短期間・非抜歯で実績豊富
経験豊富なスタッフが対応するインビザラインGO
1.最短4ヶ月
インビザラインGOは、症例によって最短4ヶ月で治療が完了するケースもあります。
一般的なワイヤー矯正と比べ、治療期間が短いのが特徴です。
2.歯を抜かない矯正
歯をできるだけ抜かず、負担の少ない矯正治療を行っています。
3.100症例以上の治療実績
当院では、秩父地域でインビザラインGOの治療実績が累計100症例を超えています。
\まずは話だけ聞きたい方も、
お気軽にご相談ください/
その他矯正治療との比較
ワイヤー
矯正
裏側矯正
インビザライン矯正とその他の矯正を
比較すると
多くの方が懸念している、
目立ちにくさ・痛みに関して
特に優れている事が分かります。
インビザラインの治療の流れ
治療期間は、5~10ヶ月(保定期間は含まず)前歯に限られた矯正治療の為
全顎の通常矯正の3~5年と
くらべかなり短くなっています。
通院間隔は1~1.5ヶ月に1回です。
無料カウンセリング予約
症例評価
シミュレーション画像をみて頂きゴールとなる歯並びを3D画像でその場ですぐに確認していただきます。
精密検査
治療計画確認
治療開始
治療終了保定
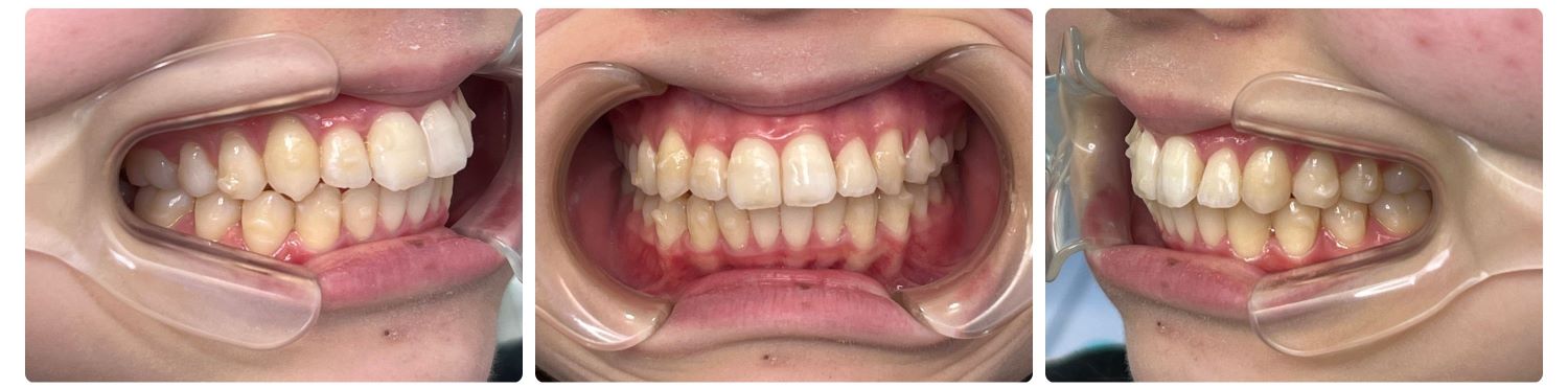
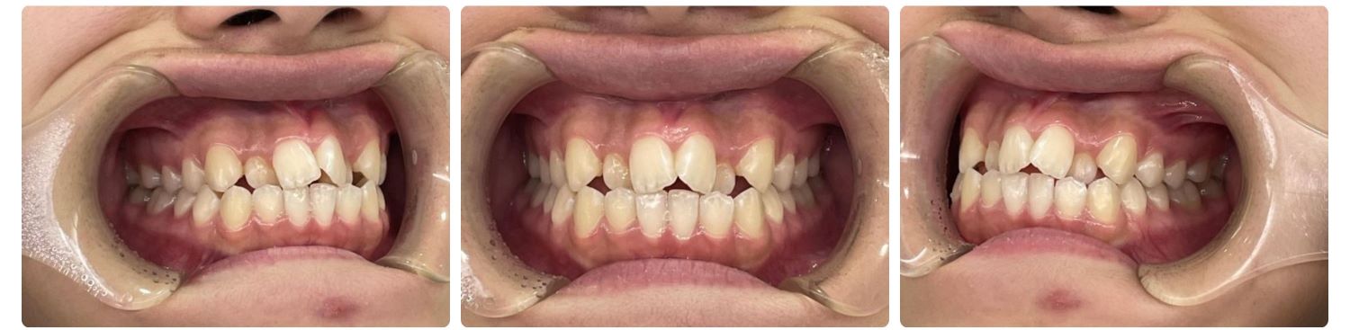
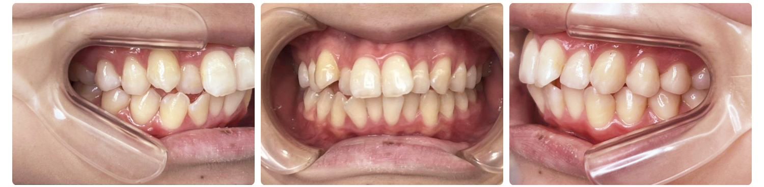
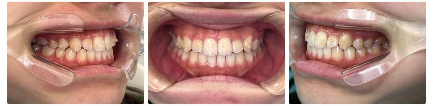
症例
治療費用
当医院のインビザラインGO治療は、毎月のチェックや調整費用(3,300円)、
矯正治療後に
使用する保定装置リテーナー(55,000円)まで、
全てを含んだ
料金体系でご案内をしています。
- カウンセリング
- 0円(税込)
- 精密検査(インビザ ラインGOでの治療適応性の判定)
- 27,500円(税込)
- フルパッケージ
- 495,000円(税込)
※デジタルローンのご契約が可能です
月々5,130円〜
LINE相談・予約
歯医者さんに行く前に矯正のこと
相談したい、気軽に予約を取りたい
そんな方はLINE相談・予約を
ご利用ください。
矯正相談に
LINE でお答えします。
スマートフォンから
このQRコードを読むと
ページにアクセスできます
LINEをお持ちでない方
