インプラント症例
インプラントにより機能回復した症例 60代 女性
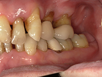
歯周病の進行により歯が抜けているところがある
右側に歯がないので左側だけで食べている
歯が揺れる 歯の隙間が気になる 入れ歯は痛くて入れていられないという訴えと 前歯にインプラントができるのかという相談のために来院された。
術前

(上顎)

(下顎)

(正面)

(左側)

(右側)

重度歯周病により上顎は全体によれている 前歯も抜けてしまい審美的にも支障が出ている状態です
上顎は残念ながらすべて抜歯の対象となった
インプラント4本を埋入して10本の歯を再建する提案をしました。
下顎の前歯は抜歯になるがほかの歯は歯周病の治療をしっかり行いブリッジを入れることで審美性と噛み合わせの再建を提案しました。
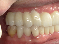
術後

(上顎)

(下顎)

(正面)

(左側)

(右側)

インプラント部にジルコニアにて審美的で壊れにくく汚れが付きにくい歯が再建されました。下顎はジルコニアブリッジとダイレクトボンディング治療でかみ合わせを再建しました。
揺れていた歯がなくなりしっかり噛めるようになりまた気になっていた隙間もなくなり審美性の回復もできました。
| 治療期間 | 約1年半(患者様の希望によりインプラント埋入を2回に分けて行ったため治療期間が長くなっています) |
|---|---|
| 治療費 | 上顎インプラント部¥2,849,000(税込) 下顎ジルコニア治療 ダイレクトボンディング治療¥1,056,000(税込) 合計¥3,905,000(税込) |







































